
49-letni amerykańśki dziennikarz Chris Cuomo ma koronawirusa. W czwartek, 2 kwietnia, dołączył do Andersona Coopera i dr Sanjaya Gupty, aby opowiedzieć o swoich objawach COVID-19. Zaczął opowiadać o tym, jak to się wszystko zaczynało. Jeżeli w większości przypadków pojawia się wysoka temperatura, to Chris Cuomo zaczął tracić wagę.
Straciłem 13 funtów w ciągu trzech dni. Jestem dużym facetem. Zacząłem od 230 funtów. Moja żona mnie karmi, jakbyśmy byli w fazie randek. Więc to nie tak, że cierpię z powodu odżywiania. Ciągle jem i piję, po prostu się pocę, a to choroba - powiedział dziennikarz.
Beata Tyszkiewicz zdradziła, jak spędzi święta w tym roku. Jej słowa są bardzo smutne
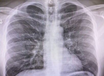
Także dodał to, że później miał wysoką gorączkę około 40 stopni. Amerykańska gwiazda postanowiła podzielić się zdjęciem swoich płuc, który zrobił podczas RTG. W prześwietleniu widzimy nagromadzony płyn.
Syn Zenka Martyniuka, Daniel nie przestrzega zasad kwarantanny. Sprawa poszła do sądu
Lekarze oczekują ode mnie kontroli, ponieważ mam wirusa, i muszę ci powiedzieć – to przerażające, że twoje płuca wznoszą się tam i widzą te rzeczy i mówią: „Cóż, co to jest? Co to takiego tam pali? I mówią ci: „Tak, to wirus” - opowiadał amerykańśki dziennikarz Chris Cuomo.
Tak samo czytaj o tym, jak narzeczona Borisa Johnsona miała objawy podobne do koronawirusa. Carrie Symonds, narzeczona brytyjskiego premiera na swoim Twitterze poinformowała wszystkich o to, że miała podobne objawy koronawirusa. Chociaż nie miała testu na obecność COVID-19, bardzo się martwi o swoje zdrowie. Carrie napisała o tym, że cały czas znajdowała się w łóżku. Więcej na ten temat, czytaj tutaj.
Więcej ciekawych artykułów na kolezanka.com